Dr. Brijesh Patel
Cosmetic Dentist, Ahmedabad
BDS, MDS(Guj Uni First)
- 21 Years Experience
- 1 Hospital
About
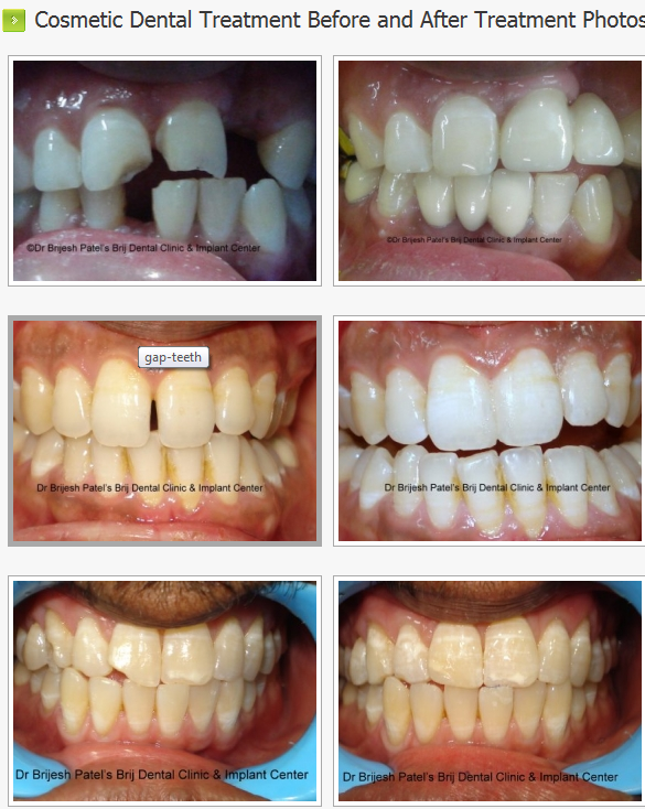
Dr. Brijesh Patel is a leading and eminent Dental surgeon in Ahmedabad, Gujarat. He is an expert in Dental Implants and Cosmetic Dental Treatment. He is the founder of Brij Dental Clinic with the motive of bringing all the dental treatments under one roof. He is specialized in Smile designing with veneers Dr. Brijesh provides Surgical treatments, Oral cancer screening, Painless Root canal treatments, Fillings, Crowns & Bridges, Child Dentistry and more.
Specialities
-
Cosmetic Dentistry
-
Dentistry & Maxillofacial Surgery
-
Dentistry
-
Endodontics
-
Prosthodontics
-
Orthodontics
-
Oral pathology
-
Implantology
Expertise
All Dental treatment under one roof- Dental implant
- Laser dental treatment
- Cosmetic dental treatment & smile designing
- Root canal treatment (rct)
- Fixed teeth (metal, ceramic, zirconia)
- Wisdom tooth removal
- Scaling and laser gum surgeries
- Dentures
- Composite and ceramic veneers
- Whitening of teeth/ bleaching
- Tooth jewellery
Education
MDS, 2008, Govt Dental college and hospital, Ahmedabad, India
Practice Information
Brij Dental Clinic & Implant Center, Ahmedabad
Between Saptak Party Plot and Jaymangal BRTS, 132 Feet Ring Road, First Floor Akash-III Complex, Above Hyundai & LML Showroom, Naranpura, Ahmedabad, Gujarat - 380013
MON
10:00 AM - 01:00 PM & 04:30 PM - 08:30 PM
TUE, WED, THU, SAT
10:00 AM - 01:00 PM & 04:00 PM - 08:30 PM
FRI
10:00 AM - 01:00 PM & 04:00 PM - 08:28 PM
Achievements & Contributions
- Indian Dental Association
- Dental Practitioners Society, Ahmedabad
- Gujarat state dental council
How was your experience with Dr. Brijesh Patel?
Help other patients, and let the doctor know how he's doing
Most Viewed Cosmetic Dentists in Ahmedabad
-
B.H.M.S.
17 Years Experiance
-
BDS, MDS (Orthodontics)
16 Years Experiance
-
BDS, MDS (Orthodontics), PhD, LL.B.
21 Years Experiance
-
BDS, Implantologist, PG Diploma In Clinic Research
12 Years Experiance
-
BDS
15 Years Experiance










